
Retina Club Association
Sight provides us with most of the information about the world. Retinal diseases are the main cause of vision loss. We support educational activities in ophthalmology to provide knowledge wherever it is needed. For professionals and patients. RetinaClub is an association of retinologists, scientists and enthusiasts. Let's work together to reduce the incidence of blindness.
Currently, we only operate in Poland. However, many of us are active internationally, especially within the European Union.


Normal cross-sectional structure of the retina - we wish it to everyone
Thank you for your trust
Retina Club undertakes many topics in educational activities every year by participating in meetings and courses. We are present at every major conference in Poland and we share our experience and we also listen to the knowledge and needs of our colleagues and our patients. We are involved scientifically and organizationally. Thank you for your trust.
We engage and organize...


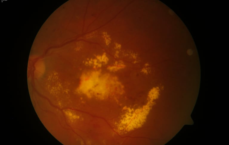
Fighting diabetic retinopathy
Workshops for ophthalmologists
Diabetes is the leading cause of vision loss before the age of 65. The therapeutic program for diabetic macular edema provides access to modern treatment reimbursed by the National Health Fund. However, many people still start treatment too late. Therapy often has to be combined and can be difficult.
Our activities are supported in this respect by Thea
Current trends, current guidelines, modern therapies and diagnostics using the most advanced devices - we try to keep up with all achievements in retinology and share information about them.
LASER COURSE EVER 2024 Valencia, Spain
The course will provide details on modern forms of application of retinal lasers, starting from classic photocoagulation, through subthreshold micropulse treatment to new photobiomodulation techniques. Indication for different forms of laser treatment will be outlined and referred to available clinical data.
Update on retinal lasers.
1. History of photocogulation and laser retinal treatment (prof. Andrzej Grzybowski)
2. Classic focal laser photocoagulation in the era of intravitreal injections (prof. Anna Święch)
3. Panretinal photocoagulation of retina today (prof. Stephen Schwartz)
4. Subthreshold micropulse laser treatment in retinal diseases (assoc. professor Maciej Gawęcki)
5. Multiwavelength retinal photobiomodulation (professor Hakan Kaymak)
Partners
We cooperate with both organizations and companies interested in the development of retinology and education for doctors and patients. Please contact us.


